Appalachian Dental Associates Accepting New Patients!
CONTACT US NOW
423-283-4442
Facebook
Instagram
Home
Services
Patient Info
Your First Visit
Patient Forms
Financial Information
Care Credit
Before and After
Request Appt.
Meet Us
Meet The Staff
Meet The Doctors
Patient Education
Contact
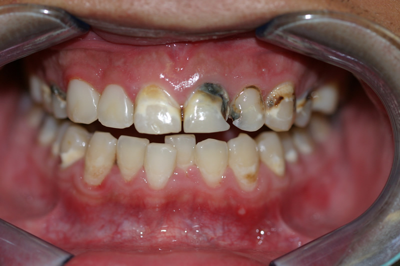
Before and After
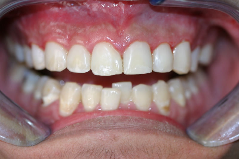
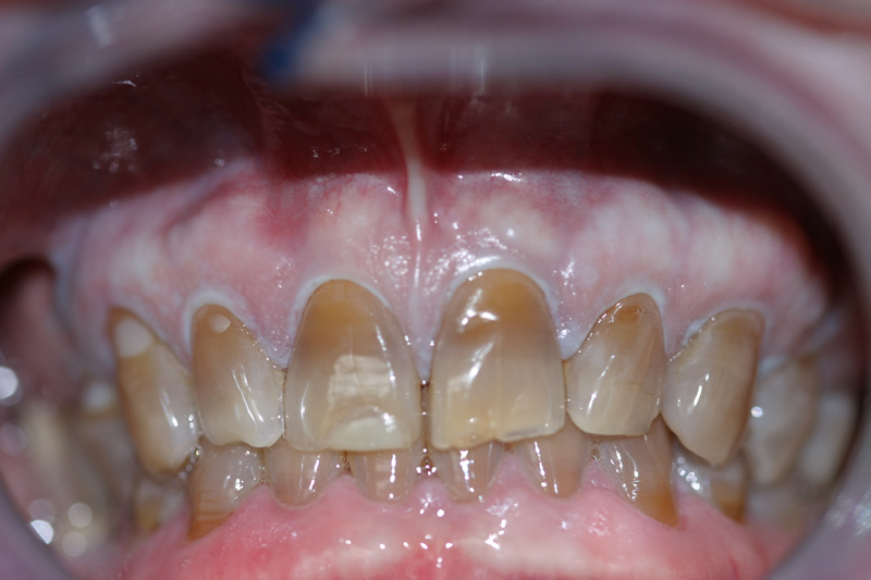
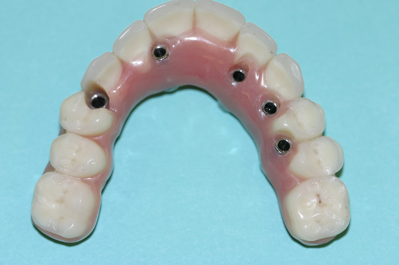
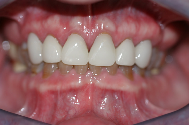
Complete Implant Restoration
Composite Filling Restoration
Anterior Crown Restoration